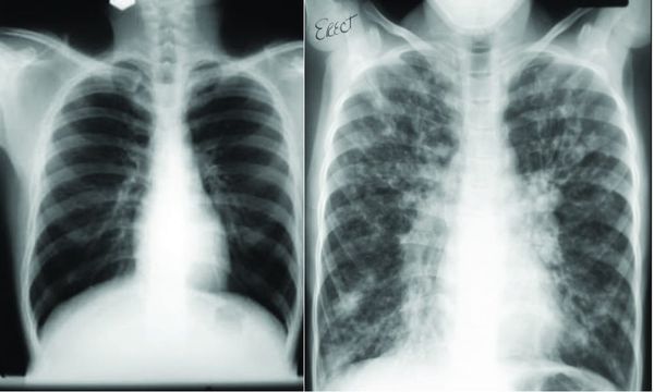
Tackling Cystic Fibrosis
Ned Yoxall talks to Dr Jane Davies on new advances in CF treatment
Ned Yoxall talks to Dr Jane Davies on new advances in CF treatment
Ned Yoxall does Ironman for charity: part 2
Ned spends so much time running and cycling that he probably doesn't have a degree to come back to... all for charity, so, worth it?
The new library doors are "a menace", says Ned Yoxall
Plumbing the depths of society and swimming
Tackling Cystic Fibrosis through the ultimate endurance trust