Science

Getting under the skin: a new hope for cancer treatment

Getting under the skin: a new hope for cancer treatment

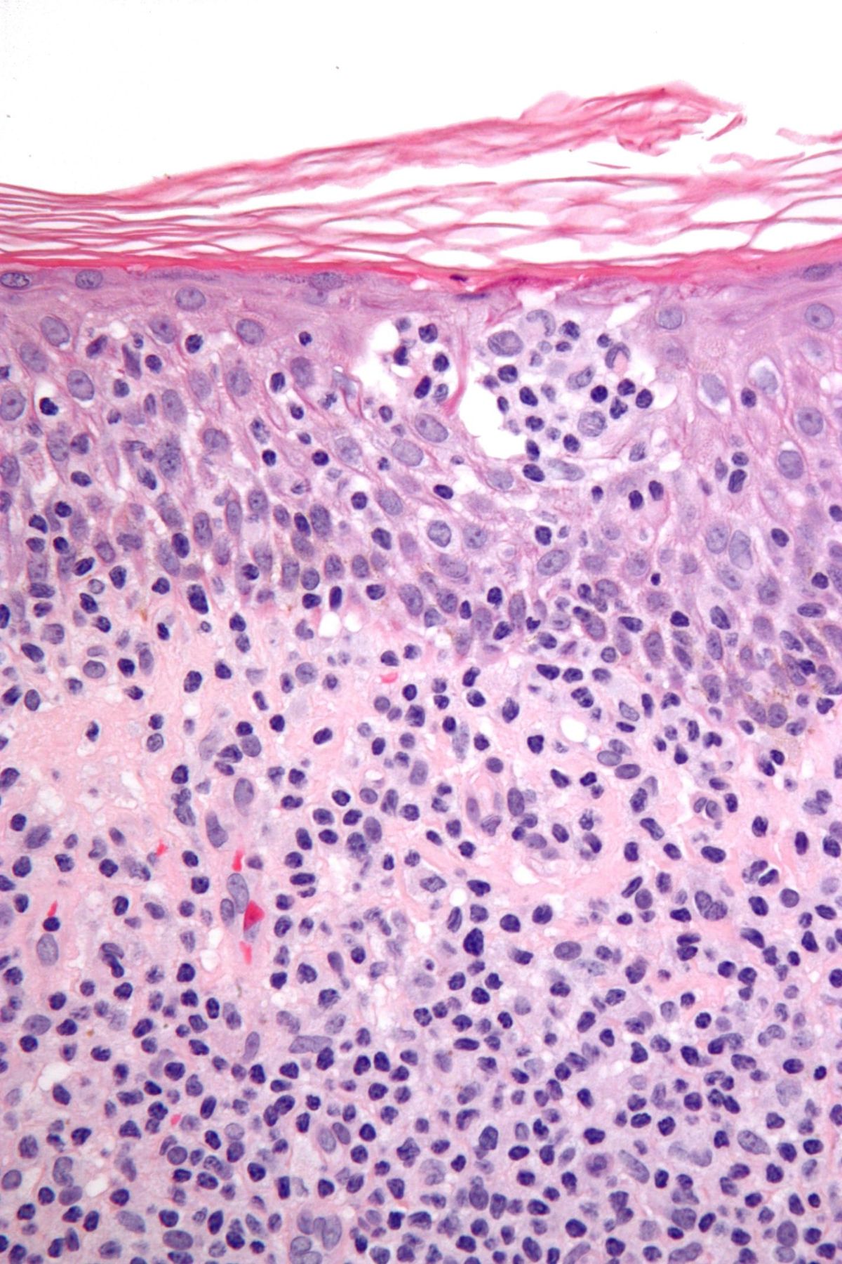
Cutaneous T-cell lymphoma (CTCL) is a rare cancer of the skin, which occurs when T cells, a type of white blood cell in the lymphatic system, grow out of control within the skin. This is often initially mistaken for other skin conditions like psoriasis, dermatitis or eczema, as it presents as red, scaly patches, or itchy plaques on the skin.

Advanced stages of the disease involve the lymph nodes and internal organs. Whilst treatable, CTCL is generally incurable, and current systemic therapies (drugs which spread throughout the body) rarely provide reliable responses in patients.

Some CTCL tumour cells express a cell membrane protein called CD30, a tumour marker that can be expressed in this disease as well as in other lymphomas, such as Hodgkin lymphoma and anaplastic large cell lymphoma.

A new drug has recently emerged in the cancer therapy market, known as an antibody-drug conjugate (ADC). Unlike traditional chemotherapy drugs, ADCs are intended to selectively target tumour cells and spare healthy cells by targeting markers expressed on tumour cells, such as CD30.

ADCs generally comprise of an antibody designed to target the specific tumour marker, which is attached via a soluble peptide linker to a cytotoxic drug. Only when the drug reaches the cell expressing the marker in question will the drug be released, killing the tumour cell. In 2017 a clinical trial looking at an ADC that targeted CD30-positive cells in CTCL showed exciting results.

The main endpoint of the trial, which assessed patients with a reduction in tumour size over a period of four months, showed that this drug was four and a half times better at doing so than the standard choice of drug by physicians.

This drug was approved for use in the EU one year ago, and offers significant hope for patients affected by this disease, which causes significant disfigurement and adversely affects the quality of life of its patients.

From Issue 1709

11th Jan 2019

Discover stories from this section and more in the list of contents

Explore the edition

Read more

Poorest dying nearly ten years younger than the rich in “deeply worrying” trend for UK health

Poorest dying nearly ten years younger than the rich in “deeply worrying” trend for UK health

The gap between the life expectancy of the richest and poorest sectors of society in England is increasing, according to new research from Imperial College London. The study, which was published in the journal Lancet Public Health and funded by the Wellcome Trust, analysed Office for National Statistics data on

By Henry Alman
The Cultural Brain Hypothesis

The Cultural Brain Hypothesis

Over the last few million years, humans and many other animal lineages have evolved larger brains – but why? Recent research from Dr. Michael Muthukrishna and colleagues suggests the development of socially transmitted behaviours within populations, or “culture”, may be a driving force behind this trend. They coined this theory the

By Photini Knoyle
Hot takes: Murakami

Books

Hot takes: Murakami

Haruki Murakami has become a household name. Often seen as the frontrunner of Japanese literature in the West, he has also become an increasingly divisive author. Despite criticism regarding his presentation of women, and repetitiveness or banality in his oeuvre, Murakami still emerges as a widely read, well-enjoyed novelist. So

By Aditi Mehta, Mohammad Majlisi and Tarun Nair